Scientists use nanoparticles to control growth of materials

UCLA/Nature Communications 
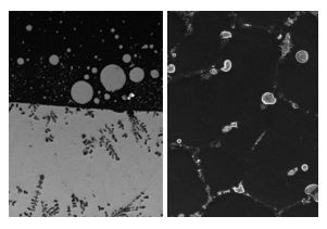
										 An aluminum-bismuth alloy without the int
UCLA/Nature Communications An aluminum-bismuth alloy without the introduction of nanoparticles (left, at 500 microns), and after nanoparticles were introduced before the alloy is cooled (right, at 50 microns).
UCLA-led team creates 'diet control' technique that could have broad applications in manufacturing and medicine. Matthew Chin - Growth is a ubiquitous phenomenon in plants and animals. But it also occurs naturally in chemicals, metals and other inorganic materials. That fact has, for decades, posed a major challenge for scientists and engineers, because controlling the growth within materials is critical for creating products with uniform physical properties so that they can be used as components of machinery and electronic devices. The challenge has been particularly vexing when the materials' molecular building blocks grow rapidly or are processed under harsh conditions such as high temperatures. Now, a team led by researchers from the UCLA Henry Samueli School of Engineering and Applied Science has developed a new process to control molecular growth within the "building block" components of inorganic materials. The method, which uses nanoparticles to organize the components during a critical phase of the manufacturing process, could lead to innovative new materials, such as self-lubricating bearings for engines, and it could make it feasible for them to be mass-produced.
account creation

TO READ THIS ARTICLE, CREATE YOUR ACCOUNT

And extend your reading, free of charge and with no commitment.



Your Benefits

  • Access to all content
  • Receive newsmails for news and jobs
  • Post ads

myScience