I win, you lose

If the human brain can respond as though a computer has a mind, that’s pro
If the human brain can respond as though a computer has a mind, that’s probably good news for those wishing to use the computer as a teacher.
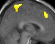
Learning from competitors is a critically important form of learning for animals and humans. A new study has used brain imaging to reveal how people and animals learn from failure and success. The team from Bristol University led by Dr Paul Howard-Jones , Senior Lecturer in Education in the Graduate School of Education and Dr Rafal Bogacz , Senior Lecturer in the Department of Computer Science , scanned the brains of players as they battled against an artificial opponent in a computer game. In the game, each player took turns with the computer to select one of four boxes whose payouts were simulating the ebb and flow of natural food sources. Players were able to learn from their own successful selections but those of their competitor failed completely to increase their neural activity. Instead, it was their competitor's unexpected failures that generated this additional brain activity. Such failures generated both reward signals in the brains of the players, and learning signals in regions involved with inhibiting response.
account creation

TO READ THIS ARTICLE, CREATE YOUR ACCOUNT

And extend your reading, free of charge and with no commitment.



Your Benefits

  • Access to all content
  • Receive newsmails for news and jobs
  • Post ads

myScience