Mammograms catch second breast cancers early

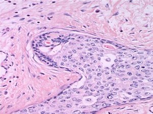
Breast cancer tissue.
Breast cancer tissue.
The results of a cohort study of women with a personal history of breast cancer published in this week's Journal of American Medical Association highlights the need for mammograms in women with a history of the cancer. Describing the research project as the most comprehensive study of its kind, the authors reported that the Breast Cancer Surveillance Consortium (BCSC) study examined 58,870 screening mammograms in 19,078 women who had had early-stage breast cancer. An equal number of screening mammograms in 55,315 women who had no such history and were matched for breast density, age, BCSC registry, and year of mammography, was simultaneously investigated. Nehmat Houssami , Associate Professor at the University of Sydney's School of Public Health , said the study found that women with a personal history of breast cancer had double the cancer rates as those with no such history. "More women are surviving longer after having early-stage breast cancer, but they are at risk of developing breast cancer again, a recurrence, or a new cancer," she said. "The comprehensive data from the BCSC made it possible for us to carefully examine the outcomes of screening for both the previously affected breast, as well as the opposite breast, at a population level," Dr Houssami said. "This is the first study in the world, to our knowledge, to provide a complete picture of the expected outcomes of mammography screening for women with a personal history of breast cancer." "Mammography was effective at finding cancers early in women who had had cancer, but not quite as effective as in those who had not," Dr Houssami said.
account creation

TO READ THIS ARTICLE, CREATE YOUR ACCOUNT

And extend your reading, free of charge and with no commitment.



Your Benefits

  • Access to all content
  • Receive newsmails for news and jobs
  • Post ads

myScience