Sugar really does rot your brain: study

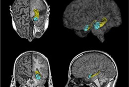
Brain pictures show the hippocampus in yellow and the amygdala in blue.
Brain pictures show the hippocampus in yellow and the amygdala in blue.
People whose blood sugar is in the high end of the normal range may be at greater risk of brain shrinkage that occurs with ageing and diseases such as dementia, according to an academic from The Australian National University. Nicolas Cherbuin, from the Centre on Ageing, Health, and Wellbeing in the ANU College of Medicine, Biology and Environment, studied 249 people aged 60 to 64 who had blood sugar in the normal range. The participants had brain scans at the start of the study and again, on average, four years later. "Numerous studies have shown a link between type 2 diabetes and brain shrinkage and dementia, but we haven't known much about whether people without diabetes with blood sugar on the high end of normal experience these same effects," said Cherbuin. "Blood glucose levels are measured in millimoles per litre (mmol/l), a normal blood glucose level is considered to be between 4.0 and 6.1 mmol/l. Those with higher blood sugar levels within the normal range were more likely to have a loss of brain volume in the areas of the hippocampus and the amygdala - areas that are involved in memory and cognitive skills - than those with lower blood sugar levels." After controlling for age, high blood pressure, smoking, alcohol use and other factors, the researchers found that blood sugar on the high end of normal accounted for six to 10 per cent of the brain shrinkage. "These findings suggest that even for people who do not have diabetes, higher blood sugar levels could have an impact on brain health," Cherbuin said.
account creation

TO READ THIS ARTICLE, CREATE YOUR ACCOUNT

And extend your reading, free of charge and with no commitment.



Your Benefits

  • Access to all content
  • Receive newsmails for news and jobs
  • Post ads

myScience