Abiraterone could halve risk of prostate cancer death for some patients

New combination of old drugs improves survival of prostate cancer - Prostatic ad
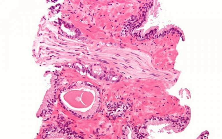
New combination of old drugs improves survival of prostate cancer - Prostatic adenocarcinoma with perineural invasion. Credit:  Nephron  on  Wikimedia Commons  (CC BY-SA 3.0)
New combination of old drugs improves survival of prostate cancer - Prostatic adenocarcinoma with perineural invasion. Credit:  Nephron  on  Wikimedia Commons  (CC BY-SA 3. Adding abiraterone to the standard treatment for locally advanced prostate cancer, where the cancer has a high chance of spreading, could halve the risk of death from the disease, according to the results of a UCL-led trial. The researchers suggest that hormone therapy using abiraterone with prednisolone, could significantly reduce prostate cancer deaths and improve outcomes for thousands of people every year. Using abiraterone for this group of people is now being considered for use in NHS England based on this research. If successful, it could be rolled out to patients immediately. The study, published in the Lancet , is part of the STAMPEDE trial and was led by a team at the UCL Cancer Institute with collaborators at The Institute of Cancer Research, London and funded by Cancer Research UK and the MRC.
account creation

TO READ THIS ARTICLE, CREATE YOUR ACCOUNT

And extend your reading, free of charge and with no commitment.



Your Benefits

  • Access to all content
  • Receive newsmails for news and jobs
  • Post ads

myScience