New mechanism of antibiotic tetracycline discovered

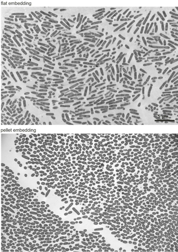
Microscopic images of bacteria embedded with the new technique (top) or the trad
Microscopic images of bacteria embedded with the new technique (top) or the traditional one (bottom). With this new technique, the whole long side of bacteria can be imaged. This lead to the discovery that tetracycline acts on the membrane of bacteria.
Microscopic images of bacteria embedded with the new technique ( top ) or the traditional one ( bottom ). With this new technique, the whole long side of bacteria can be imaged. This lead to the discovery that tetracycline acts on the membrane of bacteria. Microbiologists have discovered a thus far unknown mechanism of action of the antibiotic tetracycline, that has remained hidden in over 50 years of research on this compound. The team consitst of microbiologists from the University of Amsterdam's Swammerdam Institute for Life Sciences, in collaboration with scientists from the AUMC, VU and the Chalmers University of Technology in Gothenburg. The group was led by Michaela Wenzel and Leendert Hamoen (UvA). They were working on an improved technique to check bacteria by electron microscopy in a quantifiable manner.
account creation

TO READ THIS ARTICLE, CREATE YOUR ACCOUNT

And extend your reading, free of charge and with no commitment.



Your Benefits

  • Access to all content
  • Receive newsmails for news and jobs
  • Post ads

myScience