Precision oncology helps prostate cancer patients

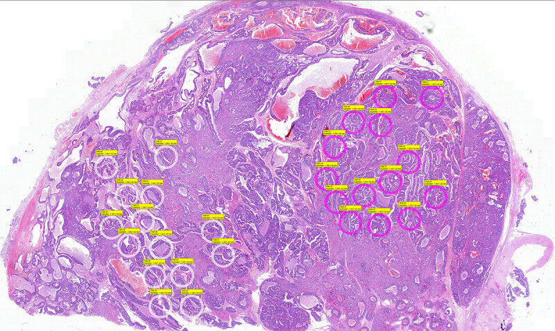
Brain metastasis of prostate cancer with selected intratumoral areas (pink and w
Brain metastasis of prostate cancer with selected intratumoral areas (pink and white circles) for undergoing molecular analyses. © Antonio Rodriguez, Dept. of Pathology and DBMR
Brain metastasis of prostate cancer with selected intratumoral areas (pink and white circles) for undergoing molecular analyses. Antonio Rodriguez, Dept. of Pathology and DBMR - Researchers at the University of Bern and University Hospital Bern have achieved a breakthrough in a particularly aggressive form of prostate cancer. In tissue samples from advanced brain metastases, they were able to establish the genetic profile of the cancer cells. These findings show for the first time that affected patients could benefit from target treatment, from which they have so far not been eligible. Around 6,600 men are diagnosed with prostate cancer in Switzerland every year. It is the second most common cause of cancer-related death in men after lung cancer.
account creation

TO READ THIS ARTICLE, CREATE YOUR ACCOUNT

And extend your reading, free of charge and with no commitment.



Your Benefits

  • Access to all content
  • Receive newsmails for news and jobs
  • Post ads

myScience