Preventing the Exhaustion of T Cells

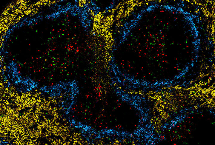
Healthy (red) and exhausted (green) T cells in the spleen of chronically infecte
Healthy (red) and exhausted (green) T cells in the spleen of chronically infected mouse. (Image: Ana Maria Mansilla / Institut für Systemimmunologie, Universität Würzburg)
Healthy ( red ) and exhausted ( green ) T cells in the spleen of chronically infected mouse. (Image: Ana Maria Mansilla / Institut für Systemimmunologie, Universität Würzburg) In the immune system's fight against cancer and infections, the T cells often lose their power. The team of Würzburg immunologist Martin Vaeth has found a possible explanation for this phenomenon. In the immune system, chronic infections and the defence against tumors often lead to the phenomenon of T cell exhaustion: In this process, the T lymphocytes gradually lose their function, which impairs their responses against cancer and infections. The molecular mechanisms that control this loss of function have not been fully unraveled. It is now certain that the exhaustion process is significantly influenced by the "powerhouses of the cells", the mitochondria. When mitochondrial respiration fails, a cascade of reactions is triggered, culminating in the genetic and metabolic reprogramming of T cells - a process that drives their functional exhaustion.
account creation

TO READ THIS ARTICLE, CREATE YOUR ACCOUNT

And extend your reading, free of charge and with no commitment.



Your Benefits

  • Access to all content
  • Receive newsmails for news and jobs
  • Post ads

myScience