Neuromodulation: Ultrasound Leads to Braver Behavior in Situations of Mental Conflict

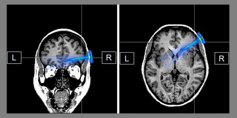
The TUS technique has the potential to safely target deeper areas of the brain e
The TUS technique has the potential to safely target deeper areas of the brain even at low energies. The elliptical blue area shows its area of influence in the current study, the right prefrontal cortex. This area is associated with brain regions that produce the EEG parameter of the mid-frontal theta frequency, which is central to the study and could be successfully influenced by ultrasound. (Image: Philipp Ziebell / Johannes Rodrigues / André Forster)
The TUS technique has the potential to safely target deeper areas of the brain even at low energies. The elliptical blue area shows its area of influence in the current study, the right prefrontal cortex. This area is associated with brain regions that produce the EEG parameter of the mid-frontal theta frequency, which is central to the study and could be successfully influenced by ultrasound. (Image: Philipp Ziebell / Johannes Rodrigues / André Forster) - Psychologists at the University of Würzburg have investigated the extent to which neuromodulation of the brain with ultrasound waves influences people's behavior. The results can also be used as a basis for therapeutic purposes. When a new opportunity opens up for people, there are some who tend to take the pessimistic view: "It's no good anyway!". They may initially accept it, but in the long term they are constantly in a state of inner conflict.
account creation

TO READ THIS ARTICLE, CREATE YOUR ACCOUNT

And extend your reading, free of charge and with no commitment.



Your Benefits

  • Access to all content
  • Receive newsmails for news and jobs
  • Post ads

myScience