How killer cells take out tumours

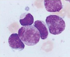
Cancer immunotherapy under the microscope: In the center of the image, three kil
Cancer immunotherapy under the microscope: In the center of the image, three killer cells (violet, smaller) attack a cancer cell (violet, larger; leukemia cells are shown here). (Photograph: Schliemann et al.: Cancer Immunol Res 2015, 3: 547)
The use of immunotherapy to treat cancer is celebrating its first successes - but there are still many knowledge gaps in the underlying mechanisms of action. In a study of mice with soft tissue tumours, ETH researchers have now shown how endogenous killer cells track down the tumours with the help of dormant viruses. The promising drug is known as F8-TNF. When injected into the bloodstream, it lures killer cells from the body's immune system towards sarcomas. The killer cells then destroy the tumours. Researchers from ETH Zurich, led by Professor Dario Neri at the Institute of Pharmaceutical Sciences, developed F8-TNF four years ago. Since then, they have been able to show that it can completely cure sarcomas in mice when combined with a chemotherapeutic agent.
account creation

TO READ THIS ARTICLE, CREATE YOUR ACCOUNT

And extend your reading, free of charge and with no commitment.



Your Benefits

  • Access to all content
  • Receive newsmails for news and jobs
  • Post ads

myScience