Pioneering treatment could help people with severe depression

Our patients and their families suffer enormously and it is often thought that n
Our patients and their families suffer enormously and it is often thought that nothing else can be done.
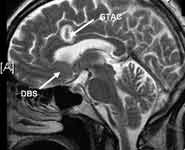
Press release issued 24 January 2011 - Pioneering neurosurgical treatment, a world first in Bristol, which very accurately targets brain networks involved in depression, could help people who suffer with severe and intractable depression. The research led by Dr Andrea Malizia, Consultant Senior Lecturer in the School of Social and Community Medicine at the University of Bristol and Mr Nikunj Patel, Senior Clinical Lecturer in the Department of Neurosurgery at North Bristol NHS Trust , are pioneering a number of treatments including experimental antidepressants, deep brain stimulation (DBS) and stereotactic neurosurgery. The patient, whose illness had stopped responding to conventional treatments, was offered DBS in the first trial in the world that stimulates two different brain networks that are involved in depression. DBS in this case provided some temporary response but was not sufficient to make her well. She is now well following further advanced stereotactic neurosurgery carried out in early 2010. The personal history of the patient, whose life has been changed by the pioneering treatment, will be broadcast on BBC One?s Inside Out West tonight [Monday 24 January]. Deep brain stimulation consists of inserting thin wires in the brain that are connected to a 'pacemaker'.
account creation

TO READ THIS ARTICLE, CREATE YOUR ACCOUNT

And extend your reading, free of charge and with no commitment.



Your Benefits

  • Access to all content
  • Receive newsmails for news and jobs
  • Post ads

myScience