Significant vulnerability in prostate cancer detected

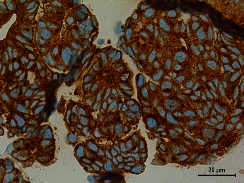
Human prostate cancer cells. A brown marker protein shows that this is the most
Human prostate cancer cells. A brown marker protein shows that this is the most aggressive form of prostate cancer. The cell nuclei can be seen in blue. © Anke Augspach / Rubin Lab / DBMR
Human prostate cancer cells. A brown marker protein shows that this is the most aggressive form of prostate cancer. The cell nuclei can be seen in blue. Anke Augspach / Rubin Lab / DBMR - Researchers at the University of Bern led an international team that has identified a novel vulnerability in advanced prostate cancer that is no longer responding to hormonal therapy. These findings could lead to the development of new treatment approaches for men suffering from the most aggressive form of prostate cancer. Prostate cancer is the third predicted cause of cancer deaths in EU men with 78,800 deaths in 2020 and a death rate of 10 per 100 000 population. While localized prostate cancer is most often effectively treated through surgery and radiotherapy, the mainstay of treatment for metastatic prostate cancer are anti-androgen (hormonal) therapies; however, resistance to these therapies ultimately develops.
account creation

TO READ THIS ARTICLE, CREATE YOUR ACCOUNT

And extend your reading, free of charge and with no commitment.



Your Benefits

  • Access to all content
  • Receive newsmails for news and jobs
  • Post ads

myScience