The gene behind follicular lymphoma

Expansion and accumulation of lymphoma cells (colored in brown) in mice spleen.
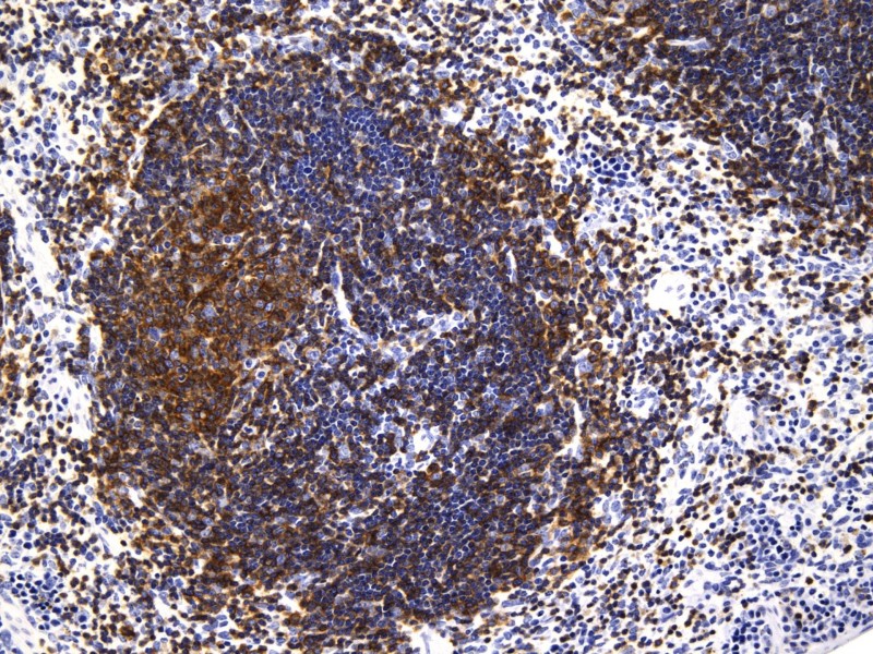
Expansion and accumulation of lymphoma cells (colored in brown) in mice spleen. Credit: Natalya Katanayeva (EPFL)
EPFL scientists have discovered an important gene whose loss lies behind follicular lymphoma, an incurable cancer. Follicular lymphoma is an incurable cancer that affects over 200,000 people worldwide every year. A form of non-Hodgkin lymphoma, follicular lymphoma develops when the body starts making abnormal B-cells, which are white blood cells that in normal conditions fight infections. This cancer is associated with several alterations of the cell's DNA, but it has been unclear which gene or genes are involved in its development. EPFL scientists have now analyzed the genomes of more than 200 patients with follicular lymphoma, and they discover that a gene, Sestrin1, is frequently missing or malfunctioning in follicular lymphoma patients. The discovery opens to new treatment options and it is now published in Science Translational Medicine . One of the common features of follicular lymphoma is a genetic abnormality between two chromosomes (14 and 18).
account creation

TO READ THIS ARTICLE, CREATE YOUR ACCOUNT

And extend your reading, free of charge and with no commitment.



Your Benefits

  • Access to all content
  • Receive newsmails for news and jobs
  • Post ads

myScience