Tranquil scenes have positive impact on brain

Diagram showing the tranquil brain
Diagram showing the tranquil brain
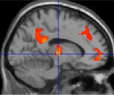
Study shows tranquil scenes have positive impact on brain. Tranquil living environments can positively affect the human brain function, according to researchers at the University of Sheffield. The research, which was published in the journal NeuroImage, uses functional brain imaging to assess how the environment impacts upon our brain functions. The findings demonstrated that tranquil environmental scenes containing natural features, such as the sea, cause distinct brain areas to become `connected´ with one another whilst man-made environments, such as motorways, disrupt the brain connections. The research involved academics from the University´s Academic Unit of Clinical Psychiatry, Academic Radiology and the School of Architecture, along with the School of Engineering, Design and Technology at the University of Bradford and the Institute of Medicine and Neuroscience at Jülich, Germany. The team carried out functional brain scanning at the University of Sheffield to examine brain activity when people were presented with images of tranquil beach scenes and non-tranquil motorway scenes. They utilised the fact that waves breaking on a beach and traffic moving on a motorway produce a similar sound, perceived as a constant roar, and presented the participants with images of tranquil beach scenes and non-tranquil motorway scenes while they listened to the same sound associated with both scenes.
account creation

TO READ THIS ARTICLE, CREATE YOUR ACCOUNT

And extend your reading, free of charge and with no commitment.



Your Benefits

  • Access to all content
  • Receive newsmails for news and jobs
  • Post ads

myScience