Uncovering the biology of a painful and disfiguring pediatric disease

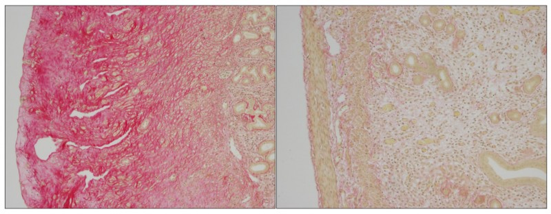
Accumulation of extracellular material in mice uterus. â’ EPFL
Accumulation of extracellular material in mice uterus. â’ EPFL
EPFL scientists have identified the biological mechanism behind the painful, potentially lethal, disfiguring Hyaline Fibromatosis Syndrome. Image caption:â?Loss of ANTXR2 leads to the accumulation of extracellular material in mice uterus and sterility (Left). Collagen 6 removal in mice without ANTXR2 restore uterine structure and function (Right). This result indicates that collagen 6 accumulation is the cause of uterine tissue disruption in mice devoid of ANTXR2, the latter playing a crucial role in collagen 6 degradation. Hyaline Fibromatosis Syndrome (HFS) is a rare but severeâ'genetic disease that affectsâ'babies, children, and adults. A glassy substance called hyalineâ'accumulates in the skin and various organs of patients, causing painful deformities and may lead to early death.â'The disease is caused by geneâ'mutations that destroyâ'the function of a protein whoseâ'physiological function is little understood.â'EPFL scientists have now studied and characterized its function for the first time, showing that it binds and controls the body levels of an important type of collagen. The work is published .
account creation

TO READ THIS ARTICLE, CREATE YOUR ACCOUNT

And extend your reading, free of charge and with no commitment.



Your Benefits

  • Access to all content
  • Receive newsmails for news and jobs
  • Post ads

myScience