High blood pressure is the strongest risk factor for changes in the cerebral vasculature

To the point
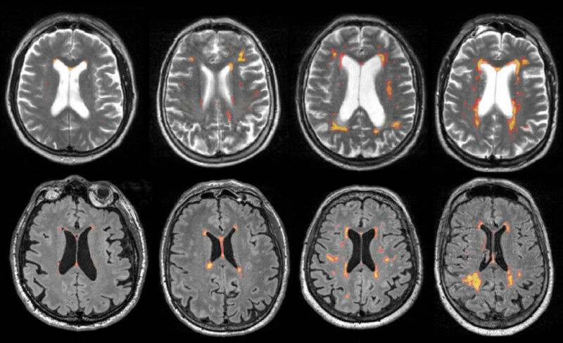
- Tiny brain injuries: Undetected lesions in the brain are a common cause of dementia and can be detected by MRI.
- Consequences in everyday life: The brains of those affected often process information more slowly.
- Possible prevention: The lesions can become visible from the age of forty.
-There is currently no treatment for these lesions, even though they are a major risk factor for stroke and dementia,- says Frauke Beyer, lead author of the study. In order to find out how existing drugs could be prescribed, it was important for the researchers to first understand which factors play a role in the development of lesions at different locations in the brain. To do this, they analysed DNA and blood samples from the study participants from Germany and France, who also had to solve mental tasks while lying in a magnetic resonance imaging (MRI) scanner.
-We have found that lesions occur at typical locations in the brain, presumably because they are based on different mechanisms. In the case of lesions around the ventricles, high blood pressure in particular plays a role, and in the case of lesions in the deep white matter, we suspect a connection with the deposition of amyloid in the vessel walls, a protein that also occurs in Alzheimer's-. As these lesions can become visible from the age of forty, more could be done preventively here, says the researcher.
-High blood pressure is the most consistent and by far the strongest risk factor for the development of lesions that we have found - as is a higher BMI. The tricky thing is that the damage to the vascular system is a gradual process - the brains of those affected often process information more slowly than normal in everyday life, but otherwise they often don't notice it.- The scientists now want to conduct follow-up studies to find out which genetic factors could underlie the lesions at the various locations in the brain. This could enable targeted therapies in the future.
Frauke Beyer, Ami Tsuchida, Aicha Soumaré, Hema Sekhar Reddy Rajula, Aniket Mishra, Fabrice Crivello, Cécile Proust-Lima, Markus Loeffler, Christophe Tzourio, Philippe Amouyel, Arno Villringer, Markus Scholz, Hélène Jacqmin-Gadda, Marc Joliot, A Veronica Witte, Carole Dufouil, Stéphanie Debette

