Vaccine for transplant infection shows promise

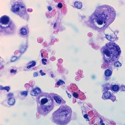
Cytomegalovirus infection.
Cytomegalovirus infection.
A major infectious problem after organ transplantation, cytomegalovirus (CMV), could potentially be targeted with a vaccine, according to new results from a phase II clinical trial led by scientists from UCL and doctors at the Royal Free Hospital. The results of this Phase II proof-of-concept study, published in The Lancet today, show that a vaccine preparation moderated the severity of CMV infection in patients waiting for kidney and liver transplants and, in some cases, may have interrupted transmission of the virus from donor to recipient. CMV is part of the herpes family of viruses and is one of the most common viral infections. It is estimated that around 6 of every 10 adults in the UK have been infected by CMV, usually through contact with young children. It is typically unnoticed in healthy people because their lymphocytes keep the virus under control. However, the virus can be serious when it develops or reoccurs in certain vulnerable groups, particularly those with weakened immune systems such as organ transplant recipients, people with HIV and unborn babies. CMV is sometimes referred to as the 'Toll of Transplantation' because of the high level of serious disease it can cause in this patient group - including pneumonia, lung complications and liver infection.
account creation

TO READ THIS ARTICLE, CREATE YOUR ACCOUNT

And extend your reading, free of charge and with no commitment.



Your Benefits

  • Access to all content
  • Receive newsmails for news and jobs
  • Post ads

myScience