New test could detect breast and ovarian cancer from cervical screening samples

breast cancer
breast cancer
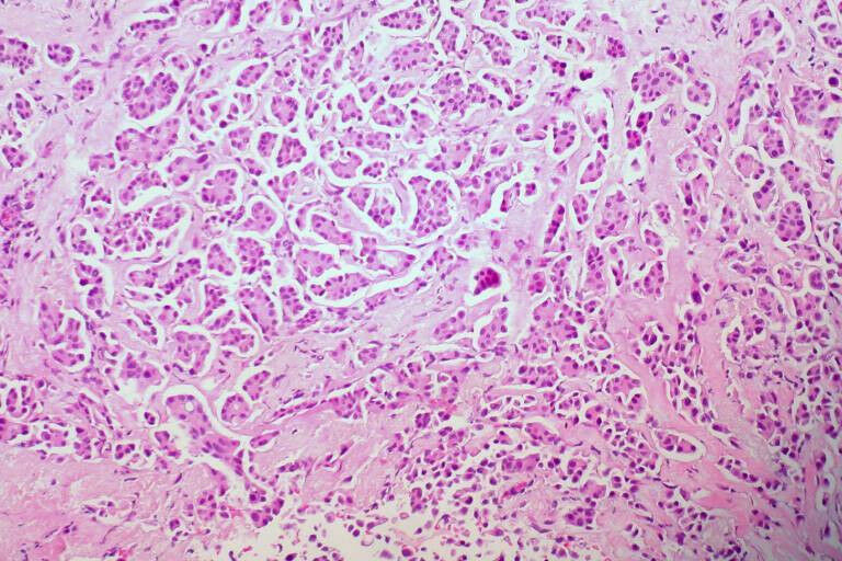
breast cancer - A new revolutionary test for detecting ovarian and breast cancer, which could potentially measure future cancer risk, is being developed by researchers from UCL's Institute for Women's Health. The research is led by Professor Martin Widschwendter (UCL Institute for Women's Health, University of Innsbruck and the European Translational Oncology Prevention and Screening Institute) and is funded by The Eve Appeal and the European Research Council. The test uses a single sample from routine cervical screening to detect or predict the risk of four cancers, including ovarian and breast cancer and may identify up to 30% more women with a high risk for breast or ovarian cancer than current genetics-based tests. The research involved assessing samples from over 3,000 women from 15 European centres. The researchers then used cervical screening samples as a surrogate tissue to measure marks on the DNA (DNA methylation) of cervical cells and found that they can be specifically related to whether someone has breast or ovarian cancer. DNA methylation can be thought of as the 'software' of our cells as it determines how our cells should read and act on instructions in the DNA (the 'hardware') . As people go through life, their environment and lifestyle is constantly updating the 'code' to their software, and so the DNA methylation changes.
account creation

TO READ THIS ARTICLE, CREATE YOUR ACCOUNT

And extend your reading, free of charge and with no commitment.



Your Benefits

  • Access to all content
  • Receive newsmails for news and jobs
  • Post ads

myScience