science wire
History & Archeology
Results 4501 - 4550 of 5068.
History & Archeology - 28.01.2011

A new study by a Cambridge University criminologist reveals just how dangerous it was to be a monarch in Europe before the modern era. On 30 January 1649 Charles I was executed on a balcony overlooking Whitehall in central London. A huge crowd, restrained by ranks of militia, gathered to witness his beheading.
History & Archeology - 28.01.2011
Harris School professors study the lifespan of legislation
Federal programs are more vulnerable to being altered or killed when Congress changes party control, especially if they've been on the books for less than 10 years, according to new research by Harris School political scientists Christopher Berry and William Howell. With the winds behind a new GOP majority in the House, the study suggests that programs created in the first two years of Obama's presidency are the most likely to get tossed overboard.
History & Archeology - 27.01.2011
Curators make an impression
History & Archeology - Pedagogy - 26.01.2011
One Sussex Week
History & Archeology - 25.01.2011

History & Archeology - Physics - 25.01.2011
The truth behind Tudor tombs is out there
Art 25 Jan 11 The Renaissance sculpted tomb-monument of Thomas Howard, Duke of Norfolk, was altered when being moved from Thetford to Framlingham in the mid-16th Century.
History & Archeology - Earth Sciences - 25.01.2011

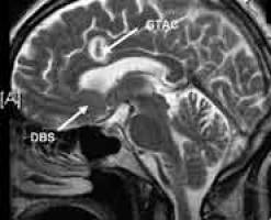
Health - History & Archeology - 24.01.2011

Press release issued 24 January 2011 Pioneering neurosurgical treatment, a world first in Bristol, which very accurately targets brain networks involved in depression, could help people who suffer with severe and intractable depression.
History & Archeology - Earth Sciences - 24.01.2011
Archaeology award: interactions that changed China
Policy 24 Jan 11 The Oxford Centre for Asian Archaeology, Art and Culture, based in Oxford University's School of Archaeology, has received its first major research award since its launch in October last year.
Architecture & Buildings - History & Archeology - 24.01.2011

History & Archeology - Event - 23.01.2011
Opening Ceremony at University of Plymouth's Multi Faith Centre
History & Archeology - 20.01.2011

What the Romans in Britain lacked in aesthetics they more than made up for in efficiency - and a Stanford researcher shows how they did it by recreating and firing a kiln based on the late Iron Age and Roman models in Britain.
History & Archeology - 19.01.2011
Consumers with low confidence in the government buy more American
When we don't feel confident about our government, we choose indirect ways of showing support, such as buying U.S.-based products, according to a new study is online and will be published in the Journal of Consumer Research, co-authored by Eugenia C. Wu, assistant professor of marketing in Cornell's Johnson School.
Architecture & Buildings - History & Archeology - 19.01.2011

Physics - History & Archeology - 18.01.2011

History & Archeology - 17.01.2011

Health - History & Archeology - 17.01.2011

Liverpool, UK - 17 January 2011: Researchers at the University of Liverpool are investigating if a lung cancer screening programme could be implemented effectively at hospitals and cancer centres across the UK. The pilot UK Lung Screening (UKLS) trial, in partnership with Liverpool Heart and Chest Hospital; Papworth Hospital, Cambridge; and the Royal Brompton & Harefield NHS Foundation Trust, London, is funded by the National Institute for Health Research Health Technology Assessment (NIHR HTA) and builds on a programme of research into the feasibility of lung cancer screening.
Health - History & Archeology - 17.01.2011
Volunteers needed to test how exercise influences response to pneumonia and flu vaccinations
Researchers at the University of Birmingham's School of Sport and Exercise Sciences are looking for volunteers to take part in a study examining whether exercise can enhance antibody response to vaccinations, such as the seasonal flu jab. The study will test the effect of a brisk walk on the antibody response to pneumococcal and influenza inoculations.
History & Archeology - Linguistics & Literature - 17.01.2011

History & Archeology - 17.01.2011

Environment - History & Archeology - 14.01.2011

Annual-resolved European summer climate has, for the first time ever, been reconstructed over the past 2,500 years. Tree rings reveal possible links between past climate variability and changes in human history. Climate change coincided with periods of socioeconomic, cultural and political turmoil associated with the Barbarian Migrations, the Black Death and Thirty Years' War.
Economics - History & Archeology - 14.01.2011

History & Archeology - 14.01.2011

The views of leading UK Muslims on some of the most contentious issues affecting Muslims in Britain are to be compiled and published online in the second phase of a groundbreaking project.
History & Archeology - 12.01.2011
Nottingham to host the Warren Cup in a major exhibition of Roman artefacts
Health - History & Archeology - 12.01.2011

Two pioneering eighteenth-century doctors and the unusual uses to which they put their gardens are the focus of a new study by a Bristol University historian. Funded by a grant from the Wellcome Trust , Dr Clare Hickman of the Department of Archaeology and Anthropology will investigate how surgeon John Hunter (1728-93) and vaccination pioneer Edward Jenner (1749-1823) used their gardens to further their outstanding medical activities.
History & Archeology - 12.01.2011

Linguistics & Literature - History & Archeology - 10.01.2011

Jan.
Linguistics & Literature - History & Archeology - 09.01.2011
Peninsula Arts presents Dominion
History & Archeology - 07.01.2011
Public lectures this spring
History & Archeology - 06.01.2011
Research will examine legacy of childhood language difficulties
A new study to examine the long-term effects of late language development in children is to be carried out by psychologists at The University of Manchester.
Linguistics & Literature - History & Archeology - 04.01.2011

An endangered Greek dialect which is spoken in north-eastern Turkey has been identified by researchers as a "linguistic goldmine" because of its startling closeness to previous forms of the Greek language. Fieldwork examining Romeyka, a little-studied form of Greek still spoken in the area around Trabzon, on Turkey's Black Sea coast, has revealed a number of features that it shares with the Koine (or common) Greek of Hellenistic and Roman times.
History & Archeology - 04.01.2011

History & Archeology - 04.01.2011
Boost for Oxford study of Byzantium
Arts 04 Jan 11 The study of the Byzantine or Eastern Roman Empire has been boosted by the opening of a new research hub at Oxford University.
History & Archeology - 03.01.2011

'Mischief: sculptures and drawings by Lucia Nogueira' - opens at Kettle's Yard on January 15, running until March 13, 2011.
Health - History & Archeology - 29.12.2010

Linguistics & Literature - History & Archeology - 23.12.2010

A tiny 165-year-old pamphlet, stored in a box at a Yorkshire public library, has been identified by a University of Manchester academic as the only surviving copy of a Chartist hymn book. Dr Mike Sanders, who came across the 'National Chartist Hymn Book' in Todmorden public library, has confirmed it contains 16 hymns sung by the Victorian radicals who campaigned for democracy and workers' rights.
Economics - History & Archeology - 23.12.2010
University of Sussex Review of 2010
University of Sussex Review of 2010 It's been an eventful year, to put it mildly.
History & Archeology - Health - 22.12.2010
Memories wanted to make medical history 7 January 2011 Hospital workers are invited to share their memories - both as staff and patients - for a special heritage project. University of Sussex Review of 2010
Pedagogy - History & Archeology - 22.12.2010

A University of Manchester Professor - and one of the UK's greatest champions for the intellectually disabled - has told of his amazing January 1939 escape from Nazi Austria in a new book.
History & Archeology - Event - 22.12.2010
88 year old graduates with PhD this Wednesday
History & Archeology - 22.12.2010

History & Archeology - Administration - 22.12.2010
Aramaic classes attract record numbers
History & Archeology - 21.12.2010
Duathlon men’s team clinch silver
Mechanical Engineering - History & Archeology - 16.12.2010
100-year study mirrors U.S. history of concrete
Almost since the beginning of recorded history, people have used concrete substances in everything from infrastructure to artwork.
History & Archeology - Life Sciences - 15.12.2010

Linguistics & Literature - History & Archeology - 14.12.2010
Treasure trove of medieval manuscripts published
PA 359/10 The largest surviving family-owned library of medieval manuscripts in Britain can now be enjoyed by everyone thanks to the publication of a new book telling its fascinating story. The Wollaton Medieval Manuscripts. Texts, Owners and Readers is the culmination of a major research project at The University of Nottingham into this nationally important regional collection.
History & Archeology - Computer Science - 14.12.2010

New online tool helps examine miracles over time A unique online catalogue, which will for the first time make it possible to look at when, where and how miracles have occurred through the ages, has been launched by researchers at the University of Sheffield.
History & Archeology - Linguistics & Literature - 13.12.2010
Exhibition explores early Islamic science
A new exhibition at the Museum of the History of Science explores the world of early Islamic scientific instrument makers as they sought a delicate balance between function and beauty.
History & Archeology - Chemistry - 10.12.2010

CHAMPAIGN, lll. Honey is the original sweetener, manufactured by honey bees long before humans discovered and appropriated it.
Life Sciences - History & Archeology - 10.12.2010

CHAMPAIGN, lll. In 1851, Lorenzo Langstroth, a Congregational minister and young ladies' school principal based in Philadelphia, revolutionized the practice of beekeeping.
Life Sciences - Mar 27
Understanding the Brain - TU Ilmenau's EU EMBRACE Project Nominated for European Excellence Award
Understanding the Brain - TU Ilmenau's EU EMBRACE Project Nominated for European Excellence Award
Social Sciences - Mar 27
A manual addresses, for the first time in Spain, child and adolescent sexual exploitation
A manual addresses, for the first time in Spain, child and adolescent sexual exploitation

Environment - Mar 26
Changing vegetation in thawing permafrost increases emissions of greenhouse gases
Changing vegetation in thawing permafrost increases emissions of greenhouse gases

Environment - Mar 26
University of Manchester hits major sustainability milestone, with Main Campus becoming 100% 'Zero Landfill'
University of Manchester hits major sustainability milestone, with Main Campus becoming 100% 'Zero Landfill'

Social Sciences - Mar 26
"It would be naive to believe that a social media ban will solve all problems"
"It would be naive to believe that a social media ban will solve all problems"

Health - Mar 26
Earlier detection, better outcomes: Irish researchers target rising bowel cancer rates with new blood test
Earlier detection, better outcomes: Irish researchers target rising bowel cancer rates with new blood test
Environment - Mar 26
UK must improve energy efficiency to end 50 years of policy failure and prevent future energy crises, study argues
UK must improve energy efficiency to end 50 years of policy failure and prevent future energy crises, study argues

Mathematics - Mar 26
From Materials to Medical Imaging, Fonseca's Work Shapes the Future of Innovation
From Materials to Medical Imaging, Fonseca's Work Shapes the Future of Innovation









