science wire
Life Sciences
Results 16251 - 16300 of 17014.
Health - Life Sciences - 21.09.2010
Sir David Weatherall wins top US medical prize
Life Sciences - Health - 20.09.2010
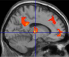
For neurons to work as a team, it helps to have a beat
BERKELEY — When it comes to conducting complex tasks, it turns out that the brain needs rhythm, according to researchers at the University of California, Berkeley.
Life Sciences - Health - 19.09.2010

University Park, Pa. The scientists who put an innovative "tree of life" online last year now have made that same resource available - for free - for iPhone users.
Life Sciences - 17.09.2010

An annual collaboration of Stanford researchers and sport anglers in Hawaii is revealing the long migration paths of Pacific blue marlins, a large, spectacular fish with a snout shaped like a spear. Electronic tags placed on the marlins reveal surprising behavior, including three fish that swam from Hawaii to the Marquesas Islands, a 3000-kilometer journey south across the equator.
Health - Life Sciences - 17.09.2010
UCL reaps one-third of new Alzheimer’s Society research grants
UCL has received a total of nearly £500,000 funding for three dementia research projects from the Alzheimer's Society and Bupa, representing one-third of all projects funded in this round.
Art & Design - Life Sciences - 17.09.2010

Life Sciences - Chemistry - 16.09.2010

University Park, Pa.
Economics - Life Sciences - 16.09.2010
A milestone in international higher education
Life Sciences - Interdisciplinary / All Categories - 16.09.2010

Professor Nigel Scrutton has been appointed Director of the Manchester Interdisciplinary Biocentre (MIB), founded at The University of Manchester in 2006 to develop a globally recognised focus of interdisciplinary research at the interface to biology.
Health - Life Sciences - 16.09.2010

Cornell will establish the world's first canine genomics program with a $10 million gift - the single largest donation ever given to the College of Veterinary Medicine - from an anonymous university trustee.
Life Sciences - 15.09.2010
Vole virus and ‘cell glue’ win Fernström prize
Life Sciences - Health - 15.09.2010

Francisco Bastos de Oliveira, a researcher at Cornell studying a novel cellular pathway during replication that may one day lead to better cancer drugs, was awarded the 2010 Sam and Nancy Fleming Research Fellowship from Cornell's Weill Institute for Cell and Molecular Biology.
Life Sciences - Chemistry - 15.09.2010
Weill Institute on track after two years of active research
Cornell's Weill Institute for Cell and Molecular Biology is on track to becoming fully operational by 2013, says Director Scott Emr.
Health - Life Sciences - 15.09.2010

Experts from the Medical Research Council (MRC) Centre for Transplantation at King's have revealed exciting new scientific developments for people with an organ transplant, intended to help prevent rejection of the new organ and extend its life.
Health - Life Sciences - 15.09.2010
Medical Center research funding exceeds $100 million
Growth in federal research funding and plans for an increased focus on personalized medicine research were key highlights of the Penn State Milton S. Hershey Medical Center's public board of directors meeting on Wednesday, Sept.
Life Sciences - 15.09.2010

The human brain can see only up to three moving objects at a given instant, new research has found.
Health - Life Sciences - 14.09.2010
Professor Deenan Pillay: directing the path for biomedical research
Professor Deenan Pillay has recently taken on the role of Director at the UCLH/UCL National Institute of Health Research (NIHR) Comprehensive Biomedical Research Centre (CBRC).
Health - Life Sciences - 14.09.2010

Study shows tranquil scenes have positive impact on brain Tranquil living environments can positively affect the human brain function, according to researchers at the University of Sheffield.
Health - Life Sciences - 13.09.2010
Fighting to save the ’Tree of Life’
PA 237/10 Scientists from The University of Nottingham have joined forces with researchers in Africa to tackle a lethal disease which is devastating a vital resource and foodstuff.
Veterinary - Life Sciences - 10.09.2010
Planning moves forward on UW-Madison research animal forums
Planning is moving ahead on a series of community forums that aim to provide a window into the use of animals in research at the University of Wisconsin-Madison.
Health - Life Sciences - 10.09.2010

The most powerful atom resolving microscope in the UK was today revealed at the University of Cambridge.
Life Sciences - Health - 10.09.2010
Visual Pattern Preference May be Indicator of Autism in Toddlers
Using eye-tracking methods, researchers at the University of California, San Diego School of Medicine have shown that toddlers with autism spend significantly more time visually examining dynamic geometric patterns than they do looking at social images - a viewing pattern not found in either typical or developmentally delayed toddlers.
Health - Life Sciences - 10.09.2010

Health - Life Sciences - 10.09.2010

Environment - Life Sciences - 10.09.2010
New £6.5m international centre for sustainable energy research
PA 235/10 A new £6.5m research centre will bring together world-class experts in energy research at The University of Nottingham.
Life Sciences - Agronomy & Food Science - 10.09.2010

Hear a tale of cannibals, ageing and human obesity from Professor Steve Simpson, NSW Scientist of the Year 2009, at his Sydney Science Forum public talk on Wednesday, 15 September 2010.
Life Sciences - Economics - 09.09.2010
Researchers expand yeast's sugary diet to include plant fiber
BERKELEY — University of California, Berkeley, researchers have taken genes from grass-eating fungi and stuffed them into yeast, creating strains that produce alcohol from tough plant material – cellulose – that normal yeast can't digest.
Economics - Life Sciences - 08.09.2010
University supports plan to stimulate regional innovation and enterprise
Agronomy & Food Science - Life Sciences - 08.09.2010

Last year, 15 trees in New York state tested positive for plum pox virus (PPV), and more than 30 acres of peaches, plums and apricots in six orchards had to be destroyed by their owners.
Life Sciences - Health - 08.09.2010

It is not likely, by a long shot, to be his biggest challenge, but reorienting his collegiate athletic allegiances and keeping peace in the family will be one pressing priority for neurophysiologist
Life Sciences - 08.09.2010
Researchers find that interneurons are not all created equally
CAMBRIDGE, Mass. A type of neuron that, when malfunctioning, has been tied to epilepsy, autism and schizophrenia is much more complex than previously thought, researchers at MIT's Picower Institute for Learning and Memory report in the Sept.
History & Archeology - Life Sciences - 08.09.2010
Off the Shelf: Book reviews by the Editors of Research/Penn State
"Do Fish Feel Pain?" (Oxford University Press) Do fish feel pain? It's a barbed and difficult question, but for Victoria Braithwaite , a fish biologist at Penn State, the science may be the easy part.
Life Sciences - 07.09.2010
Video: animal flight
Health - Life Sciences - 07.09.2010

One of the most ambitious large-scale projects in Human Genetics has been launched today: Epitwin will capture the subtle epigenetic signatures that mark the differences between 5,000 twins on a scal
Life Sciences - Physics - 07.09.2010
Age-related illnesses in the spotlight
Scientists hope to gain insight into age-related ailments such as dementia by studying proteins linked to the conditions.
Life Sciences - Environment - 07.09.2010
Mother’s care is key to a big brain
The evolution of big-brained mammals may be due to maternal investment, rather than metabolism, according to a new study by scientists at UCL (University College London) and the University of Cambridge. Published today in Proceedings of the National Academy of Sciences (PNAS) the study analysed data sets of the brain sizes of 197 marsupial and 457 placental mammals to test the influences of metabolism versus maternal investment on brain size evolution.
Life Sciences - Environment - 07.09.2010

The findings come from a study of butterfly populations in UK landscapes by scientists at the Universities of Leeds and York.
Life Sciences - 07.09.2010
Unwrapping DNA delivers cell insights
University scientists have shed light on how DNA is compacted as cells divide, helping explain how cell renewal can fail. Thousands of proteins have been discovered which are crucial for the compaction of DNA up to 10,000 times its usual size, which occurs when cells split in two. This research could shed light on what happens when this packaging process fails and cells divide abnormally, which can cause cancer and embryo miscarriage.
Life Sciences - Health - 06.09.2010

Investors in pharmaceutical, medical and biotechnological industries should not be able to patent genes that are identical to naturally occurring sequences, according to an ANU biotechnology patent expert.
Health - Life Sciences - 06.09.2010
From Architecture to Zoology at The University of Nottingham
Health - Life Sciences - 06.09.2010

PASADENA, Calif.—Researchers at the California Institute of Technology (Caltech) have engineered a fundamentally new approach to killing cancer cells. The process—developed by Niles Pierce, associate professor of applied and computational mathematics and bioengineering at Caltech, and his colleagues—uses small RNA molecules that can be programmed to attack only specific cancer cells; then, by changing shape, those molecules cause the cancer cells to self-destruct.
Health - Life Sciences - 06.09.2010
Cockroach brains could be rich stores of new antibiotics
PA230/10 Cockroaches could be more of a health benefit than a health hazard according to scientists from The University of Nottingham. Experts from the School of Veterinary Medicine and Science have discovered powerful antibiotic properties in the brains of cockroaches and locusts which could lead to novel treatments for multi-drug resistant bacterial infections.
Life Sciences - Health - 06.09.2010
Backstabbing bacteria: a new treatment for infection?
PA231/10 Selfish bacterial cells that act in their own interests and do not cooperate with their infection-causing colleagues can actually reduce the severity of infection.
Health - Life Sciences - 05.09.2010

Plaque-causing bacteria can jailbreak from the mouth into the bloodstream and increase your risk of heart attack, according to research from the University of Bristol.
Life Sciences - Chemistry - 05.09.2010

CAMBRIDGE, Mass. Plants are good at doing what scientists and engineers have been struggling to do for decades: converting sunlight into stored energy, and doing so reliably day after day, year after year.
Health - Life Sciences - 05.09.2010
Researchers Identify Protein that Fights West Nile Virus
New Haven, Conn. Yale and McGill University scientists have identified a protein that is critical in fighting mosquito-borne West Nile Virus in mice. This finding could have therapeutic implications for controlling the potentially deadly virus in humans. The study appears in the Advance Online Publication of Nature Immunology.
Linguistics & Literature - Life Sciences - 03.09.2010

The effect on the teenage brain of books like Twilight and the Harry Potter series is to be examined at Cambridge University.
Physics - Life Sciences - 02.09.2010

PASADENA, Calif.—Researchers at the California Institute of Technology (Caltech) have devised a new technique—using a sheet of carbon just one atom thick—to visualize the structure of molecules. The technique, which was used to obtain the first direct images of how water coats surfaces at room temperature, can also be used to image a potentially unlimited number of other molecules, including antibodies and other biomolecules.
Chemistry - Life Sciences - 02.09.2010

Kendall Buster has delved into art and science over the course of her career. The work she created for Princeton University's new Frick Chemistry Laboratory has emerged from both of her worlds.
Health - Life Sciences - 02.09.2010

Plans for the UK Centre for Medical Research and Innovation (UKCMRI), a new world-leading medical research institute at St Pancras and Somers Town in London, have been presented to Camden Council.
Life Sciences - Mar 27
Understanding the Brain - TU Ilmenau's EU EMBRACE Project Nominated for European Excellence Award
Understanding the Brain - TU Ilmenau's EU EMBRACE Project Nominated for European Excellence Award
Social Sciences - Mar 27
A manual addresses, for the first time in Spain, child and adolescent sexual exploitation
A manual addresses, for the first time in Spain, child and adolescent sexual exploitation

Environment - Mar 26
Changing vegetation in thawing permafrost increases emissions of greenhouse gases
Changing vegetation in thawing permafrost increases emissions of greenhouse gases

Environment - Mar 26
University of Manchester hits major sustainability milestone, with Main Campus becoming 100% 'Zero Landfill'
University of Manchester hits major sustainability milestone, with Main Campus becoming 100% 'Zero Landfill'

Social Sciences - Mar 26
"It would be naive to believe that a social media ban will solve all problems"
"It would be naive to believe that a social media ban will solve all problems"

Health - Mar 26
Earlier detection, better outcomes: Irish researchers target rising bowel cancer rates with new blood test
Earlier detection, better outcomes: Irish researchers target rising bowel cancer rates with new blood test
Environment - Mar 26
UK must improve energy efficiency to end 50 years of policy failure and prevent future energy crises, study argues
UK must improve energy efficiency to end 50 years of policy failure and prevent future energy crises, study argues

Mathematics - Mar 26
From Materials to Medical Imaging, Fonseca's Work Shapes the Future of Innovation
From Materials to Medical Imaging, Fonseca's Work Shapes the Future of Innovation









