Tumor metabolism helps classify hepatoblastoma

Normal liver tissue (left) and tissue with hepatoblastoma (right) © Etienne Meyl
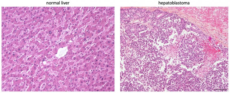
Normal liver tissue (left) and tissue with hepatoblastoma (right) © Etienne Meylan/EPFL
Looking at cell metabolism instead of histology, EPFL scientists have identified new biomarkers that could help more accurately classify the two main subtypes of hepatoblastoma, a liver cancer in children. Hepatoblastoma is a rare pediatric liver cancer, usually diagnosed in the first three years of life. Histological methods are used to distinguish between the different subtypes of hepatoblastoma. EPFL scientists have now found metabolic differences between hepatoblastoma subtypes, and identified several biomarkers that can help obtain more accurate subtyping of the disease. The work is published in EMBO Molecular Medicine . There are many subtypes of hepatoblastoma, the two major ones being fetal and embryonal. Clinically, pure fetal cases have the best prognosis.
account creation

TO READ THIS ARTICLE, CREATE YOUR ACCOUNT

And extend your reading, free of charge and with no commitment.



Your Benefits

  • Access to all content
  • Receive newsmails for news and jobs
  • Post ads

myScience