How allergens trigger asthma attacks

© Corinne Cayrol and Jean-Philippe Girard, IPBS, CNRS / Université Toulouse III—
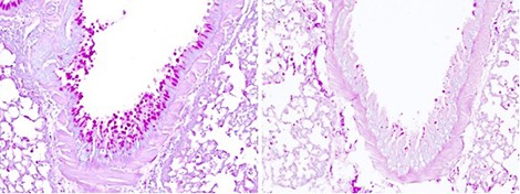
© Corinne Cayrol and Jean-Philippe Girard, IPBS, CNRS / Université Toulouse III—Paul Sabatier Mucus production in lung after inhaling allergen (lung sections; mucus shown in magenta). Excessive mucus production is characteristic of allergic asthma. The IL-33 protein, a major factor predisposing humans to asthma, detects allergen protease activity. Activated by proteases, IL-33 sets off a cascade of reactions, including mucus production, that are associated with asthma and other allergic diseases. When IL-33 activation is inhibited (see image on right), these reactions are not triggered.
A team of Inserm and CNRS researchers from the Institute of Pharmacology and Structural Biology—or IPBS (CNRS / Université Toulouse III—Paul Sabatier)—have identified a protein that acts like a sensor detecting various allergens in the respiratory tract responsible for asthma attacks. Their study, codirected by Corinne Cayrol and Jean-Philippe Girard, is published on 19 March 2018. These scientists' work offers hope for breakthroughs in the treatment of allergic diseases. What do mold, pollen, and cockroaches have in common? Though they correspond to three different kingdoms of life, they can all cause asthma attacks in people sensitive to them. And all of them, despite their very different compositions, contain enzymes called proteases . The IPBS team has identified a human protein that reacts to many environmental allergens: interleukin-33 (IL-33). When allergens enter the human respiratory tract, they release proteases that hack IL-33 molecules into extremely reactive pieces triggering the chain reactions behind allergy symptoms.
account creation

TO READ THIS ARTICLE, CREATE YOUR ACCOUNT

And extend your reading, free of charge and with no commitment.



Your Benefits

  • Access to all content
  • Receive newsmails for news and jobs
  • Post ads

myScience