news
Centre national de la recherche scientifique (CNRS)
Results 321 - 340 of 477.
Life Sciences - Health - 19.03.2018

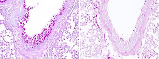
A team of Inserm and CNRS researchers from the Institute of Pharmacology and Structural Biology—or IPBS (CNRS / Université Toulouse III—Paul Sabatier)—have identified a protein that acts like a sensor detecting various allergens in the respiratory tract responsible for asthma attacks.
Astronomy & Space - 05.03.2018

Comets made up of two lobes, such as Chury, visited by the Rosetta spacecraft, are produced when the debris resulting from a destructive collision between two comets clumps together again.
History & Archeology - Career - 05.03.2018

The archaeological site of Sedeinga is located in Sudan, a hundred kilometers to the north of the third cataract of the Nile, on the river's western shore. Known especially for being home to the ruins of the Egyptian temple of Queen Tiye, the royal wife of Amenhotep III, the site also includes a large necropolis containing sepulchers dating from the kingdoms of Napata and Mereo (seventh century BCE–fourth century CE), a civilization 1 mixing local traditions and Egyptian influences.
Life Sciences - 22.02.2018

Botai horses were tamed in Kazakhstan 5,500 years ago and thought to be the ancestors of today's domesticated horses. . . until a team led by researchers from the CNRS and Université Toulouse III–Paul Sabatier sequenced their genome. Their findings published on 22 February 2018 in Science are startling: these equids are the progenitors not of the modern domesticated horse, but rather of Przewalski's horses—previously presumed wild! The earliest proof of equine domestication points to the steppes of Central Asia roughly 5,500 years ago.
Life Sciences - Environment - 25.01.2018

The Tara Oceans expedition (2009-2013) has enabled the collection of plankton samples in all of the world's oceans on board the schooner Tara , and the creation of catalogues of species and genes on a scale never before undertaken.
Electroengineering - Computer Science - 15.01.2018

Phytoplankton blooms are one of the most important factors contributing to the efficiency of the carbon pump in the North Atlantic Ocean. To better understand this phenomenon, the ERC remOcean 1 project, led by researchers at the Laboratoire d'Océanographie de Villefranche (CNRS/UPMC), has developed a new class of robots: biogeochemical profiling floats, the first robots able to collect data in the ocean throughout the year.
Astronomy & Space - 10.01.2018

PicSat will be launched into Earth orbit on 12 January 2018 to study the star Beta Pictoris, its exoplanet and its famous debris disk, thanks to a small telescope 5 cm in diameter.
Life Sciences - 13.12.2017

While dinosaurs reigned on dry land and in the sky, other reptiles populated the seas and oceans. Of the latter, plesiosaurs, whose means of locomotion may be described as “underwater flight,” formed the most diverse group. But when did they first appear? The discovery of the oldest of these reptiles provides evidence that they had diversified by the start of the Mesozoic Era, during the Triassic Period.
Earth Sciences - History & Archeology - 01.12.2017
Bronze Age artifacts used meteoric iron
You may already be surprised to hear there are iron objects dating back to the Bronze Age, but their meteorite origin is even more astonishing. Though meteorites had already been recognized as one source of this metal, the scientific community couldn't determine whether they accounted for most or simply a few Bronze Age iron artifacts.
Earth Sciences - Astronomy & Space - 30.11.2017
New early signals to quantify the magnitude of strong earthquakes
After an earthquake, there is a disturbance in the field of gravity almost instantaneously. This could be recorded before the seismic waves that seismologists usually analyze. In a study published in Science on December 1, 2017, a team formed of researchers from CNRS, IPGP, the Université Paris Diderot 1 and Caltech has managed to observe these weak signals related to gravity and to understand where they come from.
Mechanical Engineering - 28.11.2017

Dyslexia is a learning difficulty which affects the ability to adopt the automatic reflexes needed to read and write. Several studies have sought to identify the source of the problems encountered by individuals with dyslexia when they read. Little attention, however, has been paid to the mechanisms involved in writing.
Chemistry - History & Archeology - 23.11.2017

To solve mysteries about ancient works or authenticate heritage objects, specialists often need support from science. Since 1988, AGLAÉ has been installed at the Centre de Recherche et de Restauration des Musées de France (C2RMF, Palais du Louvre). It is the only particle accelerator in the world that is exclusively dedicated to studying heritage objects.
Sport - Mathematics - 22.11.2017

SNCF engineers have been using mathematical models for many years to simulate the dynamic behavior of railways. These models have not been able to take into account large portions of the track have been extremely limited at modelling ballast, the gravel layer located under railway tracks. This is why SNCF Innovation & Recherche asked for help from specialists in wave propagation for all types of media and at varied scales: CNRS and INSA Strasbourg 1 researchers.
Earth Sciences - Life Sciences - 13.11.2017

In 2009, the world's largest dinosaur tracks were discovered in the French village of Plagne, in the Jura Mountains. Since then, a series of excavations at the site has uncovered other tracks, sprawling over more than 150 meters. They form the longest sauropod trackway ever to be found.
Psychology - Life Sciences - 08.11.2017
Memory : recognizing images seen briefly ten years previously
Recalling the names of old classmates 50 years after graduation or of favorite childhood television series illustrates the amazing abilities of human memory. Emotion and repeated exposure are both known to play a role in long-term memorization, but why do we remember things that are not emotionally charged and have only been seen or experienced a few times in the past?
Social Sciences - Computer Science - 07.11.2017

How are we affected by other peoples' opinions' To answer this question, scientists 1 at the CNRS, Inra and Université Toulouse 1 Capitole conducted a study in France and Japan, quantifying this impact on our decisions. They identified five behaviors common to both countries: a majority of subjects make a compromise between their opinion and that of others (59% of people in France), some hold to their opinion (29% in France), whereas others follow faithfully, amplify or contradict the information they receive.
Life Sciences - History & Archeology - 02.11.2017

New genetic data bear witness to transatlantic ties severed by slavery and triangular trade. Scientists 1 from the Anthropologie Moléculaire et Imagerie de Synthèse (CNRS/Université Toulouse III - Paul Sabatier/Paris Descartes University) and Ecological Anthropology and Ethnobiology (CNRS/MNHN) research units have shown that members of Maroon communities in South America - formed over four centuries ago by Africans who escaped slavery - have remarkably preserved their African genetic heritage (98%).
Social Sciences - 02.11.2017

How do children learn their mother tongue? This question has been the subject of few studies conducted outside of industrialized countries. At the Laboratoire de sciences cognitives et psycholinguistique (CNRS/ENS/EHESS), specialists in language development in children have studied a traditional population in the Bolivian Amazon, the Tsimane 1 , in partnership with bio-anthropologists from Toulouse 1 Capitole University 2 and the University of California at Santa Barbara.
Economics - 01.11.2017

Asian elephant populations in Laos, which are under a process of commodification, have dropped by half in the last 30 years.
Health - Life Sciences - 26.10.2017

Yaser Hashem's team at the Laboratoire Architecture et Réactivité de l'ARN at CNRS's has discovered a new potential therapeutic target – located in the ribosome – to combat trypanosomes parasites.
Environment - Mar 25
UCalgary expedition, with NASA, Canadian and European space agencies, sets out to better understand state of Arctic ice
UCalgary expedition, with NASA, Canadian and European space agencies, sets out to better understand state of Arctic ice

Social Sciences - Today
Young people's wellbeing is improving in Greater Manchester, major survey finds
Young people's wellbeing is improving in Greater Manchester, major survey finds
Environment - Today
Australia's environment is improving but climate change is 'accelerating' damage to ecosystems and wildlife
Australia's environment is improving but climate change is 'accelerating' damage to ecosystems and wildlife

Psychology - Mar 23
The grief myth: it doesn't come in stages or follow a checklist - like love, it endures
The grief myth: it doesn't come in stages or follow a checklist - like love, it endures
History & Archeology - Mar 23
The UV has played a part in the discovery of a 3,500-year-old loom that sheds light on key aspects of the Bronze Age textile revolution
The UV has played a part in the discovery of a 3,500-year-old loom that sheds light on key aspects of the Bronze Age textile revolution

Innovation - Mar 23
The University of Valencia launches ClioViz, an open digital platform for accessing cultural heritage data
The University of Valencia launches ClioViz, an open digital platform for accessing cultural heritage data

Social Sciences - Mar 23
Study links higher concentration of pokie machines to increase in family and domestic violence
Study links higher concentration of pokie machines to increase in family and domestic violence

Health - Mar 23
Screening blitz could achieve cervical cancer elimination among Indigenous communities within a generation
Screening blitz could achieve cervical cancer elimination among Indigenous communities within a generation

Computer Science - Mar 20
New computer chip material inspired by the human brain could slash AI energy use
New computer chip material inspired by the human brain could slash AI energy use











