news
Swiss Federal Institute of Technology Lausanne, EPFL
Results 1041 - 1060 of 1375.
Environment - Life Sciences - 20.11.2017

How do trees adjust to the effects of global warming? EPFL researchers have studied how beech and spruce trees - two of the most common plant species in Europe - react to changing temperatures. And they discovered that the amount of moisture in the air plays a decisive role. Rising temperatures, increasingly intense rainfall and extended periods of drought are some of the known effects of climate change.
Computer Science - Innovation - 17.11.2017

EPFL researchers have come up with a fact-based system to measure urban cleanliness. Municipal authorities will now be able to draw on objective assessments when planning their street cleaning - a sector with multi-million-franc budgets. The concept is straightforward: on one hand, vehicles equipped with video cameras to record the city streets, and on the other, a computer able to spot waste, identify it and classify it - in the blink of an eye.
Music - Health - 10.11.2017

Researchers at EPFL can now see what happens in our brains when we hear music in our heads. The researchers hope that in time their findings will be used to help people who have lost the ability to speak. When we listen to music, different parts of our brain process different information - such as high and low frequencies - so that our auditory perception of the sounds matches what we hear.
Life Sciences - Microtechnics - 08.11.2017
A robotic spy among the fish
A new miniature robot developed by EPFL researchers can swim with fish, learn how they communicate with each other and make them change direction or come together. These capabilities have been proven on schools of zebrafish. Researchers at EPFL's Robotic Systems Laboratory (LSRO), which is headed by Professor Francesco Mondada, have developed a miniature robot that can integrate perfectly into schools of zebrafish.
Innovation - Computer Science - 06.11.2017

Technis, an EPFL spin-off, has developed a system that combines a connected floor surface with artificial intelligence to track people's trajectories as they walk through a shopping mall or convention center, for example.
Life Sciences - Pharmacology - 02.11.2017

Scientists at EPFL have discovered that the mechanism that mitochondria use to defend mammalian cells against protein-damaging stress also exists in plants. The work is published in Molecular Cell. Image: Arabidopsis thaliana plants used in this study. On the left is a plant under normal growth conditions, while on the right is a plant treated with doxycycline, which has significantly stunted its growth but is protected against aging as evidenced by its fresher appearance (credit: J. Auwerx/EPFL).
Health - Life Sciences - 31.10.2017
Virtual reality reduces phantom pain in paraplegics
Virtual reality reduces phantom body pain in paraplegics and creates the illusion that they can feel their paralyzed legs being touched again. The results could one day translate into therapies to reduce chronic pain in paraplegics. In breakthrough research led by neuroscientist Olaf Blanke and his team at EPFL, Switzerland, the scientists show that phantom body pain can be reduced in paraplegics by creating a bodily illusion with the help of virtual reality.
Environment - 27.10.2017

EPFL scientists working with a team of researchers from across Europe have found that peat bogs, despite their low biodiversity, can effectively withstand both moderate and glacial climates. That finding stands to change the way we look at biodiversity.
Earth Sciences - Environment - 26.10.2017

A team of EPFL and European researchers has discovered a flaw in the way past ocean temperatures have been estimated up to now. Their findings could mean that the current period of climate change is unparalleled over the last 100 million years. According to the methodology widely used by the scientific community, the temperature of the ocean depths and that of the surface of the polar ocean 100 million years ago were around 15 degrees higher than current readings.
Astronomy & Space - 26.10.2017

Looking at massive galaxy clusters, EPFL astronomers have observed that their brightest galaxies within them "wobble" - an unexpected phenomenon in current models. The discovery, published in MNRAS, adds to the body of evidence of dark matter beyond the Standard Cosmological Model (?CDM). Figure: Abell S1063, a galaxy cluster, was observed by the NASA/ESA Hubble Space Telescope as part of the Frontier Fields programme.
Life Sciences - 23.10.2017
Sleepwalkers are better at automatic walking
Sleepwalkers who are awake may have a multi-tasking advantage over non-sleepwalkers, according to recent research that uses virtual realilty. Try counting backwards from 200 in steps of 7 while walking en-route to your favourite café. Chances are, you will slow down or even freeze mid-stride, unless you are a sleepwalker.
Environment - Earth Sciences - 19.10.2017

Of all the electricity produced in Switzerland, 56% comes from hydropower. The life span of hydroelectric plants, which are massive and expensive to build and maintain, is measured in decades, yet the rivers and streams they depend on and the surrounding environment are ever-changing.
Materials Science - 12.10.2017

Scientists have studied how the flax plant heals itself after it has been wounded. They measured changes in the plant's mechanical properties, like stiffness and damping, and examined the plant's self-repair mechanisms. Because natural fibers are being increasingly used to make composite materials, understanding how such mechanisms work can help scientists develop self-healing materials with better performance, drawing on methods inspired by nature.
Materials Science - Environment - 11.10.2017

An international team of researchers from EPFL, ETHZ and Rice University in Houston creates a database tool for the design of cement, a component of concrete, the most-used construction material in the world and a significant source of atmospheric carbon dioxide.
Transport - 04.10.2017

When EPFL researchers fused the data from two intelligent vehicles, the result was a wider field of view, extended situational awareness and greater safety. Intelligent vehicles get their intelligence from cameras, Light Detection and Ranging (LIDAR) sensors, and navigation and mapping systems. But there are ways to make them even smarter.
Life Sciences - Innovation - 29.09.2017

Thanks to an innovative technology for encoding data in DNA strands, two items of world heritage - songs recorded at the Montreux Jazz Festival and digitized by EPFL - have been safeguarded for eternity.
Materials Science - Environment - 28.09.2017

EPFL scientists have greatly improved the operational stability of perovskite solar cells by introducing cuprous thiocyanate protected by a thin layer of reduced graphene oxide.
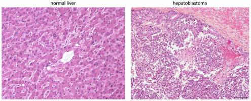
Health - Life Sciences - 21.09.2017

Looking at cell metabolism instead of histology, EPFL scientists have identified new biomarkers that could help more accurately classify the two main subtypes of hepatoblastoma, a liver cancer in children. Hepatoblastoma is a rare pediatric liver cancer, usually diagnosed in the first three years of life.
Environment - Life Sciences - 14.09.2017

Six months after the Antarctic Circumnavigation Expedition ended, the teams that ran the 22 scientific projects are hard at work sorting through the many samples they collected. Some preliminary findings were announced during a conference in Crans Montana organized by the Swiss Polar Institute, who just appointed Konrad Steffen as new academic director.
Microtechnics - Innovation - 12.09.2017

A new drone developed at EPFL uses cutting-edge technology to deliver parcels weighing up to 500 grams.
Pharmacology - Mar 19
GSK, University of Oxford and Imperial College London launch centre to create computer models of lungs, liver, kidneys and cartilage
GSK, University of Oxford and Imperial College London launch centre to create computer models of lungs, liver, kidneys and cartilage

Innovation - Mar 19
India's new wave of Hindu Religious Entrepreneurship is reshaping our interpretation of success
India's new wave of Hindu Religious Entrepreneurship is reshaping our interpretation of success
Veterinary - Mar 19
New RVC study challenges common beliefs on desirable behaviours in designer 'Doodle' crossbreeds
New RVC study challenges common beliefs on desirable behaviours in designer 'Doodle' crossbreeds

Agronomy & Food Science - Mar 19
Bird Flu Risk to Danish Cattle - New Tool Can Warn Farmers Before Infection Spreads
Bird Flu Risk to Danish Cattle - New Tool Can Warn Farmers Before Infection Spreads
Chemistry - Mar 19
Leipzig University and Center for the Transformation of Chemistry conclude collaboration agreement
Leipzig University and Center for the Transformation of Chemistry conclude collaboration agreement

Psychology - Mar 19
Analysis: Trying your best in a second language? Here's why native speakers seem so rude
Analysis: Trying your best in a second language? Here's why native speakers seem so rude
Computer Science - Mar 18
SDU is part of global initiative to bring mathematical certainty to modern computing and artificial intelligence
SDU is part of global initiative to bring mathematical certainty to modern computing and artificial intelligence







