news
University of Bern
Results 121 - 140 of 342.
Earth Sciences - Environment - 17.05.2022

An interdisciplinary study, in which the University of Bern played a major role, sheds new light on two extreme volcanic events and a subsequent global cooling in antiquity. With the help of a highly precise analysis of volcanic ash and sulphur in ice cores from Greenland and Antarctica, it became clear that the global cooling around 1627 BC was not attributable to the Thera volcano in Santorini, as previously assumed, but to a volcano in distant Alaska.
Psychology - Health - 13.05.2022

Researchers at the Department of Neurology of the University of Bern and University Hospital Bern identified how the brain triages emotions during dream sleep to consolidate the storage of positive emotions while dampening the consolidation of negative ones. The work expands the importance of sleep in mental health and opens new ways of therapeutic strategies.
Life Sciences - Agronomy & Food Science - 12.05.2022

The genetic origins of the first agriculturalists in the Neolithic period long seemed to lie in the Near East. A new study published in the journal Cell shows that the first farmers actually represented a mixture of Ice Age hunter-gatherer groups, spread from the Near East all the way to south-eastern Europe.
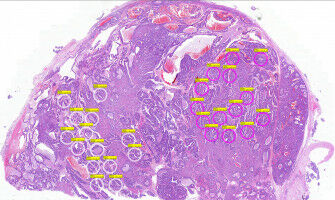
Health - Life Sciences - 11.05.2022

Researchers at the University of Bern and University Hospital Bern have achieved a breakthrough in a particularly aggressive form of prostate cancer. In tissue samples from advanced brain metastases, they were able to establish the genetic profile of the cancer cells. These findings show for the first time that affected patients could benefit from target treatment, from which they have so far not been eligible.
Earth Sciences - Environment - 19.04.2022

Can iron-rich dust fertilize the ocean, stimulate algae growth there, and thereby capture carbon dioxide from the atmosphere? An international research team involving the University of Bern and led by the University of Bonn used deep-sea sediment cores from the Scotia Sea to investigate whether this hypothetical greenhouse gas sink had an effect during ice ages.
Social Sciences - Health - 17.03.2022

An international team with participation of the University of Bern provides new insights about how the inhabitants of the "oldest city in the world" in Éatalhöyük (Turkey) buried their dead. Their bones were partially painted, excavated several times and reburied. The findings provide insight into the burial rituals of a fascinating society that lived 9000 years ago.
Earth Sciences - Environment - 02.02.2022

A team led by the University of Bern was able to proof that the glaciers of the penultimate ice age ('Riss' glaciation) mainly eroded the bedrock between Thun and Bern, but that during the last glaciation (' Würm'- glaciation) glacial carving resulted in a widening and not in a further deepening of the valleys.
Astronomy & Space - Earth Sciences - 28.01.2022

An international team including researchers from the University of Bern and the University of Geneva as well as the National Centre of Competence in Research (NCCR) PlanetS analyzed the atmosphere of one of the most extreme known planets in great detail. The results from this hot, Jupiter-like planet that was first characterized with the help of the CHEOPS space telescope, may help astronomers understand the complexities of many other exoplanets - including Earth-like planets.
Health - 20.01.2022
Magnesium is essential for the immune system, including in the fight against cancer
The level of magnesium in the blood is an important factor in the immune system's ability to tackle pathogens and cancer cells. Writing in the journal Cell, a research group from the University of Basel and University Hospital Basel with Bernese participation have reported that T cells need a sufficient quantity of magnesium in order to operate efficiently.
Astronomy & Space - Earth Sciences - 07.01.2022

Led by the University of Bern, an international research team has discovered a sub-Neptune exoplanet orbiting a red dwarf star. The discovery was also made thanks to observations performed by the SAINT-EX observatory in Mexico. SAINT-EX is run by a consortium including the Center for Space and Habitability (CSH) at the University of Bern and the National Center of Competence in Research NCCR PlanetS.
Social Sciences - 21.12.2021

For most people, satisfaction in a relationship changes over time. Researchers at the Institute of Psychology, University of Bern have, for the first time, managed to identify typical developmental trajectories, both over a person's life span and over the duration of a relationship. The study shows that average satisfaction in a relationship is at its lowest at the age of 40 and after 10 years of being in a relationship.
Environment - 09.12.2021

In the "Projet Lac" research project, 35 lakes in the Alpine region were systematically examined for their fish populations for the first time: In Switzerland alone, 106 fish species were detected. With almost 20 percent of all known fish species in Europe, Switzerland is one of the hotspots for fish species diversity.
Astronomy & Space - 11.11.2021

By implementing artificial intelligence techniques similar to those used in autonomous cars, a team from the UNIGE and the UniBE, in partnership with the company Disaitek, has discovered a new method for detecting exoplanets. The majority of exoplanets discovered to date have been discovered using the transit method.
Life Sciences - Computer Science - 10.11.2021
When algorithms get creative
Uncovering the mechanisms of learning via synaptic plasticity is a critical step towards understanding how our brains function and building truly intelligent, adaptive machines. Researchers from the University of Bern propose a new approach in which algorithms mimic biological evolution and learn efficiently through creative evolution.
Health - 14.10.2021
Swissuniversities warns of a medicine and research ban
The adoption of the initiative for a ban on animal and human experimentation would prevent biomedical research and new medical treatments in particular. The high quality of healthcare and responsible research in Switzerland to the benefit of the population and the environment are at stake.
Astronomy & Space - Physics - 14.10.2021

A compositional link between planets and their respective host star has long been assumed in astronomy. For the first time now, a team of scientists, with the participation of researchers of the National Centre of Competence in Research (NCCR) PlanetS from the University of Bern and the University of Zürich, deliver empirical evidence to support the assumption - and partly contradict it at the same time.
Health - Life Sciences - 05.10.2021
It is still elusive to what extent interactions between different cell types of the heart influence the normal heart rhythm and possibly trigger life-threatening arrhythmias. A new measurement method developed at the University of Bern combines for the first time optical and electrical recording of cardiac ventricular activation which, in conjunction with optogenetics, will permit finding comprehensive answers to these questions.
Health - Pharmacology - 28.09.2021
Decrease in mortality from rare side effect
A large-scale international study co-led by Inselspital and the University of Bern investigated the very rare adverse cerebral venous occlusion (sinus venous thrombosis) after administration of the Oxford-AstraZeneca and Janssen/Johnson&Johnson vaccines. Neither vaccine has been used in Switzerland to date.
Life Sciences - Health - 19.08.2021

Cells have their own quality control to prevent the production and accumulation of harmful proteins. This quality control is essential for correct embryonic development in all mammals and plays an important role in tumors and genetic diseases such as cystic fibrosis. A group of researchers from the University of Bern and the University of Basel have now made visible and cataloged for the first time, "blueprints" that give rise to defective proteins and are normally recognized and rapidly degraded in cells.
Life Sciences - Veterinary - 12.08.2021

An international team of researchers including scientists from the Institute of Genetics of the University of Bern has unraveled the enigma of inheritance of coat color patterns in dogs. The researchers discovered that a genetic variant responsible for a very light coat in dogs and wolves originated more than two million years ago in a now extinct relative of the modern wolf.
Event - Mar 17
CEA Leti to Showcase Integrated Expertise In Microelectronics Reliability at IRPS 2026
CEA Leti to Showcase Integrated Expertise In Microelectronics Reliability at IRPS 2026
Health - Mar 17
AI was supposed to ease doctors' workload - instead they spend hours correcting errors
AI was supposed to ease doctors' workload - instead they spend hours correcting errors
Pharmacology - Mar 17
International trial finds rapid diagnostic testing alone does not reduce antibiotic prescribing for respiratory infections
International trial finds rapid diagnostic testing alone does not reduce antibiotic prescribing for respiratory infections
Social Sciences - Mar 17
Social background shapes how hard children work, according to a study by UC3M
Social background shapes how hard children work, according to a study by UC3M

Innovation - Mar 17
With Robotics Innovation Center, CMU and Hazelwood Partners Sustain Community Collaborations
With Robotics Innovation Center, CMU and Hazelwood Partners Sustain Community Collaborations













