news
University of Würzburg
Results 101 - 120 of 288.
Physics - Materials Science - 01.03.2024

Breakthrough in materials research: A team from the Würzburg-Dresden Cluster of Excellence ct.qmat has developed an innovative protective film for 2D quantum materials that could play a key role in shaping the future of electronics. As silicon-based computer chips approach their physical limitations in the quest for faster and smaller designs, the search for alternative materials that remain functional at atomic scales is one of science's biggest challenges.
Social Sciences - Life Sciences - 22.02.2024

Empathy can be transferred. This means that people can learn or unlearn empathy by observing their environment. This is shown by a new study by Würzburg neuroscientist Grit Hein . With her latest evaluations of empathy skills, Würzburg professor Grit Hein has once again disproved the old adage: "What goes around comes around".
Life Sciences - 13.02.2024

Desert ants find their way during an early learning phase with the help of the Earth's magnetic field. The associated learning process leaves clear traces in their nervous system. This is shown in a new study by a Würzburg research team. They are only a few centimeters tall and their brains have a comparatively simple structure with less than one million neurons.
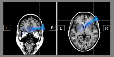
Health - Life Sciences - 01.02.2024

Psychologists at the University of Würzburg have investigated the extent to which neuromodulation of the brain with ultrasound waves influences people's behavior. The results can also be used as a basis for therapeutic purposes. When a new opportunity opens up for people, there are some who tend to take the pessimistic view: "It's no good anyway!".
Health - Pharmacology - 31.01.2024

A precursor of cholesterol, previously categorised as harmful, can protect cancer cells from cell death. This finding, published in Nature, opens new doors for cancer research. In a groundbreaking study, a team led by Würzburg Professor José Pedro Friedmann Angeli has shown that the cholesterol precursor 7-dehydrocholesterol (7-DHC) plays a crucial role as an antioxidant: it integrates into the cell membranes and protects the cells by preventing a certain type of cell death, known as ferroptosis.
Life Sciences - Chemistry - 24.01.2024

More than 1,000 players are involved in a cell when genetic information is translated into proteins. A new German-Israeli research project is now working on systematically identifying their respective tasks. When genetic information in human cells is transported from the cell nucleus into the cytoplasm and translated into proteins, one particular molecule plays a central role: mRNA, or messenger RNA.
Physics - Electroengineering - 22.01.2024

A significant breakthrough has been achieved by quantum physicists from Dresden and Würzburg. They've created a semiconductor device where exceptional robustness and sensitivity are ensured by a quantum phenomenon. Semiconductor devices are tiny switching components that control electron flow in modern electronic devices.
Astronomy & Space - Mathematics - 19.01.2024

One year after the discovery image of the black hole M87*, improved observations of the Event Horizon Telescope (EHT) Collaboration give a better picture showing a persistent black hole shadow. The Event Horizon Telescope (EHT) Collaboration including scientists at Julius-Maximilians-Universität (JMU) Würzburg has released a new image of M87*, the supermassive black hole residing at the heart of the galaxy Messier 87.
Astronomy & Space - Computer Science - 12.01.2024

Researchers at the University of Würzburg have developed a virtual reality (VR) application for training astronauts. It allows the training of various mission scenarios under water. Nowhere can the zero gravity of space be simulated as well as in water - training in large indoor swimming pools is therefore part of the daily routine for astronauts in training.
Health - Pharmacology - 09.01.2024

Natural killer cells of the innate immune system can permanently remain in infected tissue and thus contribute to immunological memory. Researchers at the University of Würzburg have now discovered this. A team of the Max Planck Research Group for Systems Immunology led by Würzburg immunologist Georg Gasteiger has published surprising findings about cells of the innate immune system, the natural killer cells, in the journal Immunity: During local infections in the skin, these cells can migrate into the tissue and remain there long-term.
Health - Pharmacology - 02.01.2024

The African Matabele ants are often injured in fights with termites. Their conspecifics recognise when the wounds become infected and initiate antibiotic treatment. The Matabele ants ( Megaponera analis ), which are widespread south of the Sahara, have a narrow diet: They only eat termites. Their hunting expeditions are dangerous because termite soldiers defend their conspecifics - and use their powerful mandibles to do so.
Environment - 19.12.2023

The colour of dragonfly communities reacts to seasonal variation in solar radiation. Over the last 30 years, however, this colour pattern has changed - probably as a result of climate change. In a new study, researchers at Julius-Maximilians-Universität Würzburg (JMU) in Bavaria, Germany, have discovered that the colour of dragonfly communities reacts to seasonal fluctuations in solar radiation.
Life Sciences - 15.12.2023

Using optogenetics, Würzburg researchers have detected a new acid sensor in plant cells that is addressing a cell-internal calcium store, as they report in the journal "Science". When plants are infected by pathogens, suffer from a lack of water or have to react to other external stimuli, the first thing they do is increase the proton and calcium concentration in the affected cells.
Environment - Life Sciences - 14.12.2023

A DFG research group led by the University of Würzburg has developed a method that makes it possible to analyse the relationship between biodiversity within and between ecosystems and the multifunctionality of entire landscapes. Ecosystems fulfil a number of vital tasks: They store carbon, clean polluted water, pollinate plants and so on.
Health - 08.12.2023

In order for immune cells to do their job, they need to know against whom they should direct their attack. Research teams at the University of Würzburg have identified new details in this process. As complicated as their name is, they are important for the human organism in the fight against pathogens and cancer: V'9V'2 T cells are part of the immune system and, as a subgroup of white blood cells, fight tumor cells and cells infected with pathogens.
Life Sciences - Chemistry - 01.12.2023

Good news for researchers working with high-resolution fluorescence microscopy: Biocompatible molecular rulers are available for the first time to calibrate the latest super-resolution microscopy methods. Latest super-resolution microscopy methods now achieve an optical resolution in the range of a few nanometres.
Health - Life Sciences - 28.11.2023

Efficient removal of abnormal myelin allows survival of nerve fibers targeted by adaptive immune cells, according to a novel study by scientists of the University Hospital Würzburg. Myelin is an insulating sheath around axons - the processes connecting nerve cells - that is mostly composed of lipids and proteins.
Life Sciences - 24.11.2023

Plants in which an ion channel of the vacuole is hyperactive are extremely stressed and grow poorly. But the broad bean is an exception, as Würzburg researchers have discovered. Like the human body, plants also use electrical signals to process and pass on information. In addition to the cell membrane, the membrane of the central vacuole plays an important role in this process.
Life Sciences - 23.11.2023

A new study by Würzburg botanist Kenji Fukushima shows the role of subgenome dominance for plants in the evolutionary development of special traits, such as a carnivorous lifestyle. In a recent study, a team led by Würzburg botanist Kenji Fukushima investigates the genomic structure of the carnivorous pitcher plant Nepenthes gracilis and shows how polyploidy - the phenomenon of having more than two sets of chromosomes in cells - contributes to evolutionary innovation.
Life Sciences - Health - 07.11.2023

MYC proteins play an important role in many types of cancer. A research team at the University of Würzburg has now succeeded in indirectly influencing these proteins - with clear consequences for the tumor. MYC family genes are essential for the human organism. According to current knowledge, they regulate the expression of most cellular genes.
Computer Science - Mar 20
New computer chip material inspired by the human brain could slash AI energy use
New computer chip material inspired by the human brain could slash AI energy use

Politics - Mar 20
Argentina 50 years on from start of dictatorship - is it forgetting the disappeared?
Argentina 50 years on from start of dictatorship - is it forgetting the disappeared?
Life Sciences - Mar 20
Courting the Competition: Some Male Fruit Flies Serenade Each Other Rather Than Fight
Courting the Competition: Some Male Fruit Flies Serenade Each Other Rather Than Fight

Social Sciences - Mar 20
Louis Theroux's manosphere documentary shows some of the subtle ways we can undermine online misogyny
Louis Theroux's manosphere documentary shows some of the subtle ways we can undermine online misogyny

Life Sciences - Mar 20
Hidden Helpers: Pittsburgh's Industrial Past Might Hold the Key to a Cleaner Future
Hidden Helpers: Pittsburgh's Industrial Past Might Hold the Key to a Cleaner Future
Pharmacology - Mar 19
GSK, University of Oxford and Imperial College London launch centre to create computer models of lungs, liver, kidneys and cartilage
GSK, University of Oxford and Imperial College London launch centre to create computer models of lungs, liver, kidneys and cartilage

Innovation - Mar 19
India's new wave of Hindu Religious Entrepreneurship is reshaping our interpretation of success
India's new wave of Hindu Religious Entrepreneurship is reshaping our interpretation of success
Pharmacology - Mar 19
Oxford University spinout Dark Blue Therapeutics acquired to advance leukaemia treatment
Oxford University spinout Dark Blue Therapeutics acquired to advance leukaemia treatment
Veterinary - Mar 19
New RVC study challenges common beliefs on desirable behaviours in designer 'Doodle' crossbreeds
New RVC study challenges common beliefs on desirable behaviours in designer 'Doodle' crossbreeds

Agronomy & Food Science - Mar 19
Bird Flu Risk to Danish Cattle - New Tool Can Warn Farmers Before Infection Spreads
Bird Flu Risk to Danish Cattle - New Tool Can Warn Farmers Before Infection Spreads









