science wire
Swiss Federal Institute of Technology Lausanne, EPFL
Results 851 - 900 of 1322.
Earth Sciences - Environment - 03.10.2017

Swiss people may be ready to live car-free under certain conditions. The findings of PostCarWorld, a cross-disciplinary study into Swiss people's contradictory relationship with cars, will be presented at EPFL on 3 October.
Economics - Innovation - 26.09.2017

The world's leading researcher in entrepreneurship and EPFL Vice-President for Innovation, Marc Gruber, along with co-author Sharon Tal, have written the book "Where to play", a practical strategy th
Environment - Computer Science - 25.09.2017

A team of researchers has collected new data that shows a significant decrease in snow precipitation close to the ground in Antarctica, which has an impact on the ice sheet surface mass balance. Researchers have observed and characterized a weather process that was not previously known to occur in Antarctica's coastal regions.
Life Sciences - Health - 24.09.2017

A series of experiments at EPFL provide conclusive evidence that the brain uses a single mechanism (supramodality) to estimate confidence in different senses such as audition, touch, or vision. The study is published in the Journal of Neuroscience. Behavioral scientists and psychologists use the term "metacognition" to describe our ability to access, report and regulate our own mental states: "thinking about thinking", "knowing about knowing" "being aware about being aware", are all higher-order cognitive skills that fit this category.
Computer Science - Health - 22.09.2017
Developing robots that can walk more naturally
Walking on two legs isn't as easy as it seems. Especially for robots, where a natural stride is a major challenge. Researchers at EPFL's Biorobotics Laboratory are testing novel systems to improve humanoids' ability to walk and interact. For humans, it comes perfectly naturally. But walking on two legs is actually a complicated task, requiring several muscles to perform delicate balancing acts.
Computer Science - 21.09.2017

Innovation - 15.09.2017

Health - Pharmacology - 13.09.2017

Scientists from Switzerland and the US have shown that lymphatic vessels can enable both metastasis and T-cell invasion, opening new paths for cancer immunotherapy. Many cancers, such as melanoma, are known to metastasize and spread by expanding nearby lymphatic vessels. This process, lymphangiogenesis, also helps the tumor evade the patient's own immune system, and it would be expected that inhibiting lymphangiogenesis, could enhance the efficacy of cancer immunotherapies, which are only effective in a minority of patients.
Innovation - Career - 07.09.2017

L.E.S.S. and Flyability - two EPFL startups - are among the podium finishers in the latest TOP 100 Swiss Startups ranking, which was announced yesterday evening in Zurich.
Physics - Astronomy & Space - 06.09.2017

EPFL's physicists are moving forward in their efforts to solve the mysteries of the universe. A particle detector made up of 10,000 kilometers of scintillating fiber is under construction and will be added onto CERN's particle accelerator.
Microtechnics - 04.09.2017
First-ever EPFL Drone Days a runaway success
Innovation - Environment - 31.08.2017

Microtechnics - Event - 29.08.2017

Microtechnics - 28.08.2017

Using a thermal camera mounted on a drone, an EPFL student has found a way to spot fawns before the harvester passes through.
Life Sciences - 21.08.2017

Summer Series: Sarah Herrman is visiting Pierre Gönczy's lab at EPFL from the University of California, Santa Cruz.
Computer Science - 27.07.2017

An app developed by an EPFL doctoral student suggests outings you're sure to like - from sporting events to culture and outdoor fun.
Health - 24.07.2017

Summer series - Students projects. For his Master's project in computer science, Sidney Bovet developed a system that distorts - or more specifically, amplifies - an avatar's movements relative to the user's.
Chemistry - Materials Science - 20.07.2017

EPFL researchers have developed an optical imaging tool to visualize surface chemistry in real time. They imaged the interfacial chemistry in the microscopically confined geometry of a simple glass micro-capillary. The glass is covered with hydroxyl (-OH) groups that can lose a proton - a much-studied chemical reaction that is important in geology, chemistry and technology.
Health - Life Sciences - 19.07.2017
Smart walk assist improves rehabilitation
A mobile harness suspended from the ceiling is now equipped with intelligent motion analysis for tailored walking rehabilitation in people suffering from spinal cord injury, stroke and other neurological disorders affecting gait.
Chemistry - Pharmacology - 19.07.2017

EPFL scientists have developed a uranium-based complex that can allow nitrogen fixation reactions to take place in ambient conditions.
Life Sciences - Pharmacology - 18.07.2017

EPFL scientists have discovered how low-dose anxiolytics increase the social competitiveness of high-anxious individuals by boosting the energy output of mitochondria in an area of the mammalian brain that controls motivation and reward. Psychologists speak of anxiety in two forms: 'state' anxiety, which refers to anxiety arising from a particular situation; and 'trait' anxiety, which refers to anxiety as part of a person's overall personality.
Transport - 17.07.2017

Summer series - students works. For his Master's project, Martin Ellwanger worked on the capsules that are an integral part of the Clip-Air modular airplane.
Materials Science - Mechanical Engineering - 10.07.2017

An EPFL study has deepened our understanding of the fine particles produced by adhesive wear. This breakthrough could lead to cost savings and environmental benefits. Adhesive wear occurs when two surfaces - such as a brake pad and a wheel's disc, or a car tire and the road - rub against each other.
Health - Life Sciences - 28.06.2017

EPFL scientists have discovered an important gene whose loss lies behind follicular lymphoma, an incurable cancer. Follicular lymphoma is an incurable cancer that affects over 200,000 people worldwide every year. A form of non-Hodgkin lymphoma, follicular lymphoma develops when the body starts making abnormal B-cells, which are white blood cells that in normal conditions fight infections.
Microtechnics - Innovation - 19.06.2017

Environment - 16.06.2017
A video game demonstrates how energy choices affect our carbon footpr
'Mission Possible' combines scientific rigor and good fun to help us understand the carbon impact of our personal energy choices.
Innovation - 16.06.2017

A recent report by EPFL's Vice Presidency for Innovation (VPI) shows just how effective the school's startup ecosystem is by looking at standard benchmarks such as the number of jobs created, funds raised, and the buyout rate for campus startups.
Civil Engineering - Environment - 16.06.2017

Downtown areas of mid-sized cities are facing a growing challenge in maintaining their appeal. Taking Neuchâtel as an example, EPFL researchers have identified concrete steps these cities can take to make sure their downtown area remains attractive for years to come.
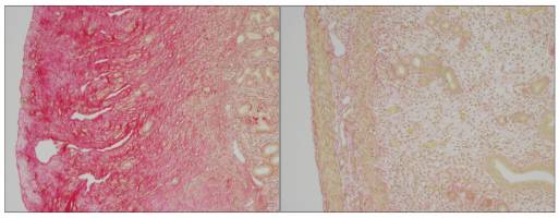
Health - Life Sciences - 12.06.2017

EPFL scientists have identified the biological mechanism behind the painful, potentially lethal, disfiguring Hyaline Fibromatosis Syndrome. Image caption:â?Loss of ANTXR2 leads to the accumulation of extracellular material in mice uterus and sterility (Left). Collagen 6 removal in mice without ANTXR2 restore uterine structure and function (Right).
Life Sciences - Mathematics - 12.06.2017
Hidden patterns of brain activity
In a collaboration led by EPFLâ?'s Blue Brain, scientists discover patterns of brain activity â'' never before observed â?- with the help of mathematics, providing insight into how neurons collectively process information. Brains of healthy rats that are the same age share many features, such as similar numbers and types of neurons present in the six layers of the cortex.
Health - Mathematics - 07.06.2017
Your own virtual heart for non-invasive heart diagnostics
EPFL mathematician Alfio Quarteroni and his team are building a virtual heart model based on personalized medical images that may one day help cardiologists and cardiac surgeons non-invasively diagnose pathological heart conditions.
Health - Life Sciences - 06.06.2017

EPFL researchers propose a new approach of performing in vitro tests on nanoparticles that could enhance a correlation to in vivo results. This involves reproducing in the lab the dynamic and fluidic variations that these particles experience in the human body. Before new nanoparticles or other nanomedicines can be injected into the human body, a whole series of tests must be conducted in the laboratory, then in living cells, and in the end on humans.
Innovation - 26.05.2017

Thanks to startup ThinkEE's modular system - which consists of technology bricks linking various connected devices - data from a host of sensors can be collected regardless of the sensors' protocols.
Life Sciences - 22.05.2017

EPFL students have developed a system that can detect when barn owls fly into and out of their nests, without disturbing the birds.
Life Sciences - Health - 10.05.2017

Good news for the fields of genetic research and gene therapy: two major projects based at Campus Biotech, EPFL's outpost in Geneva, were announced simultaneously today.
Civil Engineering - Materials Science - 09.05.2017
EPFL to participate in a concrete canoe race for the first time
This semester, eight civil engineering students at EPFL will take part in a slightly off-the-wall challenge: they are building a reinforced-concrete canoe that they will then race in a university regatta in Germany.
Innovation - 08.05.2017

Imverse, an EPFL spinoff, has developed a software that lets users convert 360-degree images from 2D into 3D and both manipulate and create virtual-reality content in real time with the help of virtual-reality glasses.
Innovation - 08.05.2017

Imverse, an EPFL spinoff, has developed software that lets users convert 360-degree images from 2D into 3D and both manipulate and create virtual-reality content in real time with the help of virtual-reality glasses.
Architecture & Buildings - 03.05.2017

A new publication, a panel discussion and projects by EPFL students consider the future of alpine villages and their often-abandoned architectural heritage - particularly their emblematic granaries.
Earth Sciences - Innovation - 02.05.2017

EPFL researchers have developed the terrestrial and aerial components of a European spatial and urban mapping project.
Environment - 01.05.2017

EPFL's Valais Wallis campus in Sion hosted the school's third annual science festival this past weekend, drawing a large public turnout.
Innovation - 27.04.2017

Pharmacology - Health - 21.04.2017

The Bill & Melinda Gates foundation has awarded EPFL-based non-profit iM4TB $2.45 million to take their innovative anti-tuberculosis drug PBTZ169 into clinical trials.
Materials Science - Health - 02.04.2017

Micro computed tomography scanners deliver very high-resolution images of the internal structure of materials.
Earth Sciences - Economics - 27.03.2017

A crowdmapping project developed by EPFL and HEIG-VD gives volunteers the chance to compare the Switzerland of the 1960s with that of today through archival photos.
Environment - 20.03.2017
ACE completes its voyage around Antarctica
The Antarctic Circumnavigation Expedition (ACE) reached Cape Town on Sunday, 19 March, completing its three-month voyage around the great white continent. But the scientific adventure has only just begun: it's now time to analyze all the data that was collected. This will improve our understanding of the effects of global warming on the Southern Ocean and the broader implications for our planet as a whole.
Career - Administration - 16.03.2017
EPFL among the top five recipients of ERC grants
Computer Science - Health - 14.03.2017
Is Reliable Artificial Intelligence Possible?
In the quest for reliable artificial intelligence, EPFL scientist Marcel Salathé argues that AI technology should be openly available.
Life Sciences - Health - 13.03.2017
Joint Efforts Towards Treating Paralysis
EPFL scientists Stéphanie Lacour and Grégoire Courtine report on the status of their research and share their vision about the future of wearable neuroprosthetics at this year's edition of South by South West in Austin, Texas, on March 12 th .
Life Sciences - Innovation - 10.03.2017

Pharmacology - Mar 19
GSK, University of Oxford and Imperial College London launch centre to create computer models of lungs, liver, kidneys and cartilage
GSK, University of Oxford and Imperial College London launch centre to create computer models of lungs, liver, kidneys and cartilage

Innovation - Mar 19
India's new wave of Hindu Religious Entrepreneurship is reshaping our interpretation of success
India's new wave of Hindu Religious Entrepreneurship is reshaping our interpretation of success
Veterinary - Mar 19
New RVC study challenges common beliefs on desirable behaviours in designer 'Doodle' crossbreeds
New RVC study challenges common beliefs on desirable behaviours in designer 'Doodle' crossbreeds

Agronomy & Food Science - Mar 19
Bird Flu Risk to Danish Cattle - New Tool Can Warn Farmers Before Infection Spreads
Bird Flu Risk to Danish Cattle - New Tool Can Warn Farmers Before Infection Spreads
Chemistry - Mar 19
Leipzig University and Center for the Transformation of Chemistry conclude collaboration agreement
Leipzig University and Center for the Transformation of Chemistry conclude collaboration agreement

Psychology - Mar 19
Analysis: Trying your best in a second language? Here's why native speakers seem so rude
Analysis: Trying your best in a second language? Here's why native speakers seem so rude
Computer Science - Mar 18
SDU is part of global initiative to bring mathematical certainty to modern computing and artificial intelligence
SDU is part of global initiative to bring mathematical certainty to modern computing and artificial intelligence







